백내장은 나이가 들면서 자연스럽게 발생하는 질환입니다. 우리 눈속에 있는 수정체가 혼탁해져 사물을 볼 때 안개가 낀것처럼 흐리게 보이는 증상을 보통 백내장이라고 합니다. 일반적으로 나이가 있는 사람들에게 발생하는 것으로 알려져 있지만 요즘에는 20대의 젊은 나이에도 백내장 증상이 보이고 있다고 합니다.




그러니 내 몸의 변화를 조기에 잘 감지하시는 것이 중요하다고 생각합니다. 백내장 증상과 백내장 수술비용 등에 대해서 자세히 알아보겠습니다.
백내장 질병 1위
광고
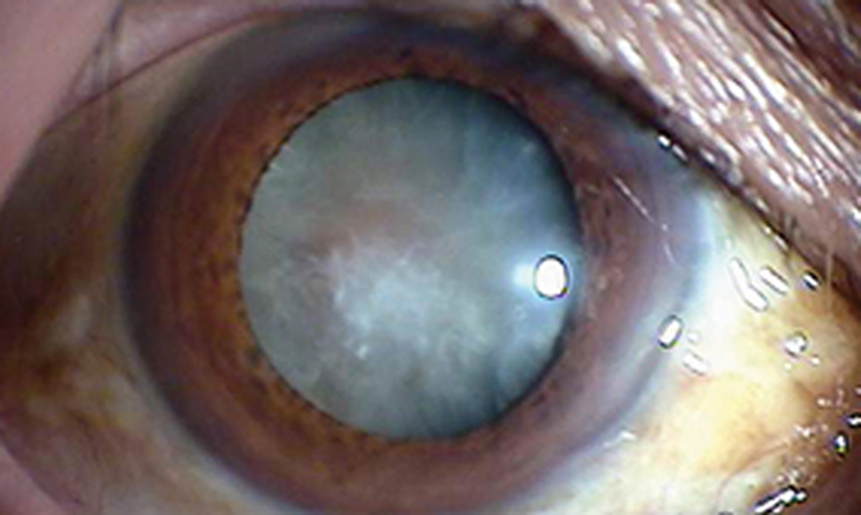
우리 눈 속의 수정체는 사물을 바라 볼 때 초점을 맞추는 역할을 합니다. 카메라로 따지면 '렌즈'에 해당하는 역할을 한다고 생각하시면 쉽습니다. 우리 눈 속의 수정체가 나이가 들거나 외상, 염증 등으로 혼탁해지고 어두워져 사물을 볼 때 안개가 낀 것처럼 흐려보이는 질병을 흔히 백내장이라고 부릅니다.


이 중 노인성 백내장 증상은 나이가 들면서 자연스럽게 발생합니다. 2019년에 입원한 65세 이상의 연령대가 가장 많았던 질병이 백내장입니다. 백내장 증상은 노년층 대다수가 겪고 있으며, 백내장 증상을 보이는 환자가 치매 환자보다 2배가 많은 것으로 집계되었습니다.
백내장 증상
광고2
시력 저하
백내장 증상의 첫번째는 시력 저하입니다. 위에서도 말씀 드렸듯이 우리 눈 속의 수정체가 혼탁해져 시야가 흐려지거나 왜곡되어 일상생활에 불편함을 느끼실 수 있는데요. 백내장 증상의 대표적인 시력 저하는 초기에 뚜렷한 증상이 느겨지지 않습니다. 그래서 후에 알게 모르게 백내장이 진행될수록 낮이나 밝은 장소에서부터 시력 저하가 느껴지기 시작해 나중에는 밝고 어두운 정도에 관계없이 시력 저하의 백내장 증상을 보입니다.



복시 증상
백내장 증상의 두번째는 복시 증상입니다. 복시 증상은 하나의 물체를 바라 보았을 때 물체가 두 개 또는 여러 개로 보이는 증상입니다. 백내장이 더욱 진행되어 시력 저하가 심해지면 복시 증상을 사라지게 되는데 이를 보고 많은 분들이 백내장 증상이 완화되어 안심하십니다. 하지만 그때는 이미 백내장의 진행이 이미 많이 된것이니 빨리 치료를 받으셔야 합니다.



빛 번짐
백내장 증상의 세번째는 빛 번짐 증상입니다. 빛 번짐 증상은 자동차 헤드라이트, 가로등 밝은 빛을 바라 볼 때 빛이 퍼져보이거나 눈이 부신 증상을 빛 번짐 증상입니다. 이 백내장 증상인 빛 번짐 증상 또한 일상생활에 많은 불편함을 느끼니 빨리 치료를 받으시거나 백내장 검사를 받으셔야 합니다.
백내장 증상 치료법
광고3
백내장 치료에는 크게 두 가지 방법이 있습니다. 백내장 초기에는 안약 혹은 먹는 약을 복용하면 백내장과 백내장 증상의 진행 속도를 늦출 수 있습니다. 다만 아직까지는 수정체를 다시 투명하게 만드는 약물은 없다고 합니다. 그러므로 백내장의 가장 확실한 치료방법은 수술 치료입니다.






백내장은 수술 시 수정체를 제거하기 때문에 재발의 위험은 없습니다. 하지만 인공 수정체를 지지하기 위해 수정체낭을 남겨두는데, 수정체 낭의 뒤쪽 부분에 혼탁한 막이 발생하여 백내장이 재발했다고 오해하는 경우가 있습니다. 이를 후발 백내장이라고 부르는데 이 후발 백내장은 레이저 치료를 통해 통증 없이 간단하게 치료할 수 있습니다.
백내장 수술 비용
광고4
백내장 수술비는 포괄수가제(진료의 종류나 양에 관계없이 미리 정해진 진료비만 부담하는 제도)적용 대상입니다. 따라서 환자가 내는 수술비는 20만9000원으로 정해져있습니다. 백내장 수술을 받기 위해서는 여러 안과에서 검사를 받아봐야 합니다.






백내장 검사는 레이저, 초음파 검사가 있는데요. 문제는 검사 비용은 비보험이라 병원마다 비용이 천차만별입니다. 적게는 몇만원인 곳도 있지만 몇백만원을 받는 안과도 있으며 노안수술이나 실손보험 환자를 주로 다루는 일부 병원에선 프리미엄을 붙여 검사비용을 높게 측정하는 곳도 있으니 여러 안과를 돌아다니시며 알아보셔야합니다.
'건강이 최고다' 카테고리의 다른 글
| 뇌종양 증상과 진단, 치료 (1) | 2021.10.21 |
|---|---|
| 심근경색 초기증상 꼭 알고 계세요 (0) | 2021.10.20 |
| 보스웰리아 효능과 부작용 꼭 알고계세요 (0) | 2021.08.30 |
댓글