의료기관 보고에 의하면 우리나라 뇌종양 발생빈도는 1.2%로, 인구 10만 명에 9~10명 정도 발생하는 것으로 알려지고 있습니다. 모든 뇌종양 중 약 20%는 15세 이하의 소아에서 발생하며, 나머지 80%는 성인에 발생하되 20~50세에 많이 발생 한다고 합니다. 남녀의 비율을 보면, 남성이 여성보다 비교적 많이 발생하는 경향이 있으며, 소아의 뇌종양은 소뇌에, 성인의 뇌종양은 대뇌에 많이 발생하고 있습니다. 뇌종양에 대해 더욱 심도있게 알아보겠습니다.
뇌종양이란?
신경계의 중추적 역할을 하는 뇌는 신경섬유와 신경세포로 구성되어 있는데요. 운동과 감각, 언어, 기억 및 고위 정신기능을 수행할 뿐만 아니라 신체 대사의 조절과 체내 항상성의 유지 등의 생존에 필수적인 작용을 하는 기관입니다. 뇌종양은 뇌 조직이나 뇌를 싸고 있는 막에서 생기게 되는 모든 종양을 말하는데요.


발생부위에 따라 원발성과 전이성 등으로 구분이 되어집니다. 또한 악성도에 따라서 악성 신경교정과 뇌전이암 등의
악성 뇌종양과 뇌수막종, 뇌하수체종양 등의 양성 뇌종양으로 나눠지게 됩니다. 뇌종양이 발생하게 되는 정확한 원인은 밝혀지지 않았으며, 종양을 억제하는 유전자가 기능을 상실하게 됨으로써 종양을 형성한다고 추정하고 있는데요.


방사선을 비롯해 음식이나 공기 등의 주위 환경에 존재하는 화학물질, 호르몬과 바이러스 등의 여러 외부적인 요인들이 종양을 억제하는 유전자의 정상적인 기능에 문제를 일으키고 변화를 일으키게 됨으로써 발생에 영향을 끼치는 것으로 추정되고 있습니다.
뇌종양 주요 증상
뇌종양의 초기에는 증상이 없는 경우가 많으며, 증상이 나타나더라도 인지하지 못하거나 대수롭지 않게 생각해 치료시기가 늦춰지는 경우가 많습니다. 또한 뇌종양 증상을 인지하더라도 뇌종양은 증상이 매우 다양하기 때문에 다른 질환으로 오인하여 적절한 치료 시기를 늦추는 경우가 많습니다.


뇌종양은 다른 암과 비교해 생존율이 높은 편에 해당된다고 합니다. 일반적으로 뇌종양 양성인 경우 발병 후 5년 생존율이 95%에 이르고, 뇌종양 악성인 경우 38% 정도의 수준을 유지하는 것으로 알려져 있는데요. 하지만 뇌종양 양성이라고 해도 발견이 늦어지게 되면 주위의 정상 뇌조직을 파괴 혹은 침범하여 수술이나 방사선으로 완치가 힘들어지게 됩니다.
또한 한 번 손상이 된 뇌는 손상 범위에 따라 기능 장애를 겪을 수 있으며, 재발의 위험성 또한 커지게 됩니다.



두통
뇌종양의 발생시 나타나게 되는 가장 주된 증상은 두통이라고 할 수 있습니다. 뇌종양 환자의 70% 가량이 호소하는 두통은 뇌의 부피가 종양으로 인해 커지게 됨으로써 뇌압의 상승으로 발생하게 되는데요.


오후 시간대에 주로 발생하는 긴장성 두통과는 달리 장시간 누워 있는 새벽이나 아침에 심하게 증상이 나타나는 특징이 있으며, 증세가 점점 더 심해지게 되면 구토와 오심 등을 동반하는 경우가 많습니다.
신경마비
또한 주위 신경을 종양이 압박하게 되면서 나타나는 신경마비는 뇌 구조 내에서의 종양의 위치와 크기에 따라 증상이 달라지게 되는데요. 종양이 특정 뇌신경을 압박하게 되면 복시와 후각소실, 시력장애, 얼굴 감각 이상, 청력 감퇴, 목소리 변화 등의 증상이 나타날 수 있습니다.


운동장애, 언어장애와 그 외 증상
운동과 언어에 관련된 중추 부분에 종양이 발생하게 되면 운동장애와 언어장애 등의 증상이 발현됩니다. 그리고 뇌종양이 주변의 뇌 조직을 자극할 경우 간질 발작의 증상이 나타날 수 있습니다.


아울러 뇌하수체에 종양이 생겼다면 월경불순과 갑상선기능 이상, 유즙분비, 말단비대증 등의 호르몬 관련 이상 증세가 동반될 수 있습니다. 두통을 비롯한 감각장애와 운동장애, 보행장애, 언어장애, 시력감퇴, 청력감퇴, 이명증 등의 발생이 의심되는 뇌종양 전조증상들이 나타날 경우엔 전문의와 상담을 통한 뇌종양 정밀검사를 시행하는 것이 가장 중요하다고 할 수 있겠습니다.


뇌종양은 명확한 발생 원인이 밝혀지지 않아 특별한 뇌종양 예방법도 없다고 알려져 있기 때문에 평소 꾸준히 뇌종양을 포함한 정기검진을 받는 것이 매우 중요합니다.
뇌종양 진단 및 치료
1. 여러 정밀 검사
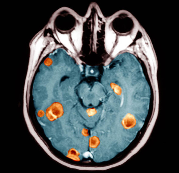
뇌종양을 진단하기 위해서는 신경학적 검사와 CT, MRI 등의 여러 검사를 시행하게 되고, 혈관의 분포와 주위의 혈관 관계를 보기 위하여 뇌혈관조영술을 진행하게 됩니다.



그리고 더욱 정밀한 검사가 필요할 때는 방사선동위원소검사와 뇌파검사 등을 진행할 수 있으며, 종양세포의 대사적 활성도를 영상으로 확인해 뇌종양의 악성도를 예측하는 양전자방출 단층촬영(PET) 등을 시행하기도 합니다.


2. 진단된 결과에 따른 치료 시행
뇌종양은 다양한 검사를 통해 진단된 결과에 따라 여러 치료 방법을 적용하게 되는데요. 뇌손상을 최소화하면서 뇌종양을 제거하기 위해서 수술적인 치료를 가장 우선적으로 시행하게 됩니다.






그리고 수술만으로 치료할 수 없는 뇌종양에 대해서는 방사선 치료를 진행하게 되며, 여러 악제를 이용한 항암화학요법 등의 치료 방법을 이차적 혹은 부가적으로 진행하게 됩니다. 그 외에 수술 전후의 뇌부종을 조절하고, 발작을 예방하기 위해서 스테로이드 및 항전간제 등의 약물치료를 시행하기도 하며, 치료가 된 이후에도 CT와 MRI 등의 검사를 이용한 추적 검사와 재발 여부를 지속적으로 관찰하게 됩니다.
심근경색 초기증상 꼭 알고 계세요
심근경색은 심장과 관련된 질환이라 매우 위험한 질병중 하나로 꼽히고 있습니다. 혈액 공급의 원천인 심장에 이상이 생기면 온몸에 혈액이 돌지 않아 죽으맊지 이어질 수 있는데요. 때문에 인
rgcg.ge-list.com
'건강이 최고다' 카테고리의 다른 글
| 심근경색 초기증상 꼭 알고 계세요 (0) | 2021.10.20 |
|---|---|
| 백내장 증상 치료법, 수술비용 (0) | 2021.10.20 |
| 보스웰리아 효능과 부작용 꼭 알고계세요 (0) | 2021.08.30 |
댓글